195 Reacties
Inwendig 🩵🩷

8 weken, uitwendig gemaakt. :)

7w+4d inwendig. ( in reactie een echo van 6w+1d . )💙🩷?

Reactie op Cocorondo
7w+4d inwendig. ( in reactie een echo van 6w+1d . )💙🩷?

6w inwendig

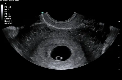
7+5 inwendig

Is het hier te zien?

6 weken. Inwendige echo 💖💙?

Uitwendig echo, 6+2. Wat zou het zijn?

Uitwendig 7+3, iemand enig idee 💖💙

Iemand ??

Iemand 7+1 inwendig

Inwendig met 7+ weken🐻💙🩷

Reactie op Kimv85
Iemand ??

Inwendig trouwens
9+5 uitwendige echo, iemand een idee? 🩷🩵

Inwendige met 6w2! Iemand die het weet?

Reactie op Veer1993
Inwendige met 6w2! Iemand die het weet?

Dit is bij 8w1 een uitwendige echo.

Iemand een idee? Is een echo via de buik

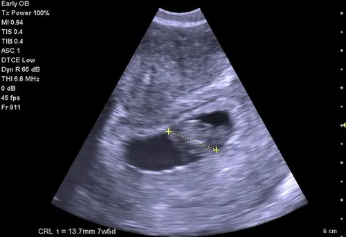
Iemand een idee? Inwendige echo met 7w2

Kan er iemand mij vertellen waar de placenta zou moeten zitten? Ik heb echt geen idee waar ik naar moet kijken ! Inwendige echo met 6 weken

Dit is inwendig met 7+5 iemand een idee?
